
Considering Invisalign to straighten your smile but wondering whether your wisdom teeth need to come out first? This common concern stops many adults from pursuing the confident smile they deserve, especially when unclear information creates unnecessary worry about treatment timing and complexity.
At Boynton Beach Dental Services, Dr. Eliseo Fiffe and Dr. Katiuska McIntosh, a skilled husband-and-wife dental team, help patients navigate this decision with personalized assessments and clear guidance. As a Gold Plus Invisalign provider in Boynton Beach, they ensure you receive treatment tailored to your unique dental situation, whether wisdom tooth extraction is part of your orthodontic journey. We provide comprehensive care in both English and Spanish.
Understanding the Relationship Between Wisdom Teeth and Invisalign
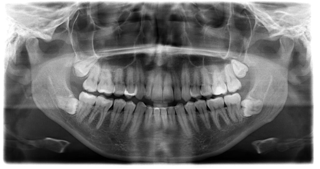
Wisdom teeth, or third molars, typically emerge between ages 17 and 25 and often lack sufficient room to develop properly. For adults over 50 considering clear aligner treatment, the position and condition of these teeth become important factors in planning your orthodontic care.
Not everyone needs wisdom teeth removed before starting treatment, but certain circumstances make extraction advisable. Impacted or misaligned wisdom teeth can potentially disrupt the careful tooth movements Invisalign creates. These molars may push against neighboring teeth, causing crowding that works against your alignment goals. Approximately 10 million wisdom teeth are extracted annually in the United States, with many removals performed to prevent future orthodontic complications.
However, if your wisdom teeth have erupted normally, sit in proper alignment, and cause no discomfort or crowding, removal may not be necessary. Your orthodontist can evaluate whether they pose any risk to your treatment success through digital imaging and clinical examination.
When Wisdom Teeth Should Be Removed Before Invisalign
Several specific situations indicate that wisdom tooth extraction should occur before beginning clear aligner therapy. Understanding these scenarios helps you make informed decisions about your treatment timeline, particularly important for retirees and active adults who want to minimize treatment interruptions.
Impacted Wisdom Teeth Present Clear Risks
Wisdom teeth that remain trapped beneath the gum line or grow at awkward angles require attention before beginning aligner therapy. These impacted teeth can cause several problems that interfere with orthodontic treatment.
They may put pressure on adjacent molars, gradually shifting teeth out of alignment as your clear aligners work to move them into their proper positions. Partially erupted wisdom teeth also present hygiene challenges. Food particles and bacteria accumulate around these teeth, increasing infection risk during orthodontic treatment when maintaining excellent oral health becomes even more critical.
Crowding Issues Demand Proactive Removal
When wisdom teeth begin emerging during active treatment, they can push other teeth forward and create new crowding. This complication may force your orthodontist to pause treatment, adjust your aligner plan, or, in some cases, restart portions of your therapy.
Removing problematic wisdom teeth before beginning Invisalign prevents these disruptive scenarios and protects your investment in cosmetic dentistry care. While the procedure is simpler in younger patients, adults of all ages can successfully undergo wisdom tooth extraction with proper planning. Recovery times and healing considerations may vary, but experienced dental professionals can ensure comfortable treatment regardless of your age.
Timing Your Wisdom Tooth Extraction Around Treatment
Strategic timing of wisdom tooth removal can significantly impact your overall orthodontic experience. Whether you choose extraction before treatment begins or address the issue during active aligner wear, each approach carries distinct considerations for maintaining your active lifestyle.
Pre-Treatment Extraction Offers Clear Advantages
Having wisdom teeth removed before starting Invisalign creates a stable foundation for tooth movement. Your orthodontist can design your treatment plan with confidence, knowing that emerging molars won’t interfere with carefully calculated movements.
This approach also prevents the inconvenience and expense of pausing treatment midstream for urgent dental surgery. Recovery from wisdom tooth extraction typically takes one to two weeks. Scheduling this procedure several weeks before beginning Invisalign provides adequate healing time and ensures you can wear your aligners comfortably from day one of orthodontic treatment, so you can return quickly to your favorite activities.
Mid-Treatment Extraction Remains Manageable
Some patients discover wisdom tooth problems after Invisalign treatment has already begun. Modern treatment technology makes managing this situation straightforward.
Your orthodontist can adjust your digital treatment plan to accommodate the changes in your mouth following extraction. You might need to wear your current aligners longer while the extraction sites heal, or your provider may create modified aligners that maintain your progress during recovery. While not ideal, mid-treatment extraction remains a manageable situation that shouldn’t derail your journey toward a beautiful smile.
Transform Your Smile with Boynton Beach Dental Services
Whether you need wisdom tooth evaluation, Invisalign treatment, or comprehensive dental care, this experienced husband-and-wife dental team brings extensive expertise to every aspect of your oral health. Dr. Fiffe and Dr. McIntosh’s collaborative approach ensures you receive well-rounded treatment planning that considers all factors affecting your dental health and aesthetic goals, with a focus on general and cosmetic dentistry services tailored to adults over 50.
Ready to explore your options for a straighter, healthier smile? Contact our Boynton Beach office to schedule your consultation and learn whether wisdom tooth removal should be part of your orthodontic treatment plan.